健康园地
警惕!青少年夜间“生长痛”有可能是骨肿瘤的表现!
骨肿瘤是威胁青少年的恶疾,发病率占儿童肿瘤的15%~20%,其中最常见的骨肉瘤大多发生在8~18岁的孩子身上。

六岁男孩因误诊丢一条腿
深圳一6岁男孩亮亮(化名)突然告诉爸妈“左腿痛”。爸妈以为孩子在幼儿园里跟小朋友玩耍,难免有磕磕碰碰,休息一阵就好了。可一周后,孩子还喊痛。
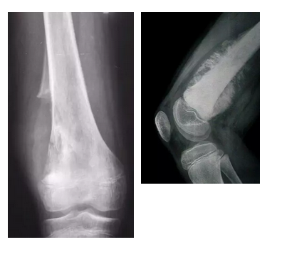
当地医院诊断为“外伤、炎症”,输液进行抗炎治疗两周后,疼痛感越来越重,并出现了骨折。看完X光片,当地医生判断孩子患有“骨纤维结构不良”。辗转求医五个月,亮亮爸妈寻求过中医的帮助,也做了石膏、骨牵引等常规骨科治疗,然而孩子的腿越来越疼,也肿得越来越厉害。
“孩子入院时,左腿比正常的右腿粗了一倍。”中山大学附属第一医院骨肿瘤中心主任沈靖南说,穿刺活检结果显示,亮亮得了恶性尤文氏肉瘤。这是一种在儿童青少年中相当常见的恶性骨肿瘤。
由于确诊时间太晚,肿瘤已将腿骨“啃”得精光。最终,亮亮被切除整条左腿。更糟糕的是,医生发现了他的肺上出现了可疑转移病灶。
“如果前面几个接诊的医生有骨肿瘤诊疗经验,看到X光片和MR片,做一个简单的穿刺活检,就能尽早发现肿瘤,保住孩子的腿。”沈靖南惋惜地说,像亮亮这样因为家长关心重视不够以及基层医生缺乏经验导致延误病情的情况,并非孤例。

骨肿瘤“偏爱”青春期孩子
骨肿瘤尤其是恶性骨肿瘤爱“招惹”儿童和青少年,主要是因为孩子处于骨骼的快速生长期,成骨细胞受到外界不利因素影响后,容易发生瘤变和恶变。
统计显示,在骨肉瘤早期,八成病人能摸到肿块,五成病人会有“夜间痛”,而到了晚期,基本所有患者都会有“夜痛”。沈靖南指出,时常有患儿家长误将夜晚发作的肿瘤痛当成“生长痛”,出现在关节的肿块当成“运动损伤”,贴药膏“活血化瘀”,却不知道此举反而加速促进肿瘤生长。
中山大学附属第一医院骨肿瘤中心邹昌业副主任医师指出,其实损伤引起的疼痛和肿瘤引起的疼痛有三点不同:
损伤引起的疼痛以运动时疼痛为主,休息后逐渐缓解,引起的肿胀也会逐渐消退;
肿瘤性疼痛则表现为越来越重,静止休息时尤其是夜间痛更为明显,肿胀、肿块也会越来越严重。
如果孩子有这些情况,家长一定要提高警惕,到医院就诊,并进行照X光片检查。一旦发现异常,通过穿刺活检,多数可以获得明确诊断。

约五成患儿确诊时已失去保肢机会
目前恶性骨肿瘤最主要的治疗方式包括手术和化疗。谢显彪指出,化疗可防止肿瘤扩散,手术则通过精准切除和个体化重建,能够保住大多数患者的肢体,同时保留肢体功能。早诊断、早发现及规范的治疗,对恶性肿瘤的疗效至关重要。
早期骨癌经过积极有效的治疗,可以减少复发、转移的可能,降低治疗难度,避免孩子的肢体残疾。然而,沈靖南指出,由于骨肿瘤表现复杂不典型、基层医生对骨肿瘤的影像和病理认识不足、诊疗缺乏经验,加上家长有种种认识误区,尤其是轻信民间偏方、土方,导致五成的患儿在就诊时,病情已至中晚期,失去保肢机会,甚至最终失去生命。
让我们大家都来关心青少年的成长!
| 感动 | 同情 | 无聊 | 愤怒 | 搞笑 | 难过 | 高兴 | 路过 |
