【患者之声】锦旗映初心,医患一家亲
近日,已经出院的李大爷,满怀深情的托家属将三面分别绣着“医德高尚暖人心 领导有方展风采”、“医术精湛 医德高尚”、“德艺双馨 妙手回春”烫金大字的锦旗送到我院。这些锦旗不仅闪耀着光芒,更承载着患者对医护人员精湛医术与高尚医德的无限感激与崇高敬意。


回溯至春节期间,63岁的李大爷因意外导致左下肢遭受重创。经外院检查,诊断为左侧胫骨平台及腓骨近端严重粉碎性骨折,并伴有复杂的关节脱位、韧带及半月板多发损伤。伤后肢体迅速肿胀,疼痛难忍,为求更加有效的治疗,家属四处寻医,心急如焚,四处打听,最终辗转慕名来到我院。
▼术前图像


在这个万家团圆的特殊时期,接诊该患者后,我院党委书记黄思石立即统筹指挥,组织专家团队进行多学科会诊,我院创伤一科团队随即展现出了极高的专业素养与责任感,杨志芬主任带领科室团队迅速响应,不顾节假日休息,对李大爷的病情进行了全面细致的评估,制定了周密的个性化手术方案,并先行药物消肿处理,为手术创造最佳条件。
待时机成熟,创伤一科医疗团队迅速为李大爷实施了复杂胫骨平台微创内固定手术,术后又贯彻快速康复理念,通过多措并举的精心护理,极大地减轻了患者的痛苦,缩短了恢复周期。在医护人员的悉心照料下,李大爷的病情得到了显著改善,最终怀着感激之情顺利出院。
在出院后黄思石党委书记的随访电话中,李大爷爽朗的笑着,言语间洋溢着康复的喜悦以及对医护人员的感激。这不仅仅是一次成功的治疗,更是一次心与心的交流,一份情与情的交融。
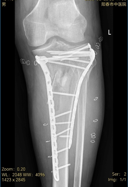
▼术后图像

金杯银杯,不如老百姓的口碑。这面锦旗,是对我院医疗技术和服务质量的肯定,更是对全体医护人员辛勤付出的最好回报。病人的满意是我们追求的极致,患者的康复是我们永恒的动力。未来,我们将继续秉承“医者人心”的信念,以更精湛的医术、更优质的服务,为每一位患者的健康保驾护航,让医学的温度温暖更多人心。
【科室简介】
阳春市中医院创伤一科是集医疗、教学、科研于一体的医院重点建设专科,致力于打造粤西地区高水平创伤骨科诊疗中心。科室以骨折创伤救治、骨科微创技术、老年与儿童骨科、肢体矫形与功能重建为核心发展方向,在复杂创伤、骨感染、骨不连及肢体畸形等领域积累了丰富经验,年手术量逾1300台,覆盖创伤骨科全病种。
科室由阳江市知名骨科专家、创伤骨科中心主任杨志芬领衔,现有专业技术人员23人,其中高级职称4人、中级职称10人,人才梯队结构合理,亚专业特色鲜明。开放床位50张(编制36张),配备先进诊疗设备,具备处理各类急危重症创伤的综合能力。
【核心诊疗特色】
1、复杂创伤精准救治:擅长处理四肢多段粉碎性骨折、复杂关节内骨折、骨盆髋臼骨折等高难度病例,引进张英泽院士的双反牵引顺势复位理念微创治疗胫骨平台骨折,熟练运用骨盆髋臼骨折的髂腹股沟入路、Stoppa入路、腹直肌外侧入路、K-L入路、DPA入路等多种经典与改良手术路径,并广泛应用通道螺钉、外固定架、髓内固定等微创技术,实现骨折的精准复位与快速康复。
2、骨感染与骨缺损综合修复:运用国内外前沿技术,系统化治疗慢性骨髓炎、骨肿瘤术后骨缺损、严重开放性骨折伴软组织损伤等疑难病症,结合皮瓣移植、骨搬运、Ilizarov技术、膜诱导技术、富血小板血浆(PRP)、冲击波等手段,实现骨与软组织的同步重建。
3、老年与儿童骨科特色诊疗:针对老年髋部骨折,推行“绿色通道+快速康复”一体化模式,显著缩短术前等待时间,降低并发症风险。在儿童骨科领域,规范诊治各类儿童骨折、先天性/发育性肢体畸形、神经肌肉性疾病,开展儿童骨健康筛查及个性化畸形矫正手术。
4、中医骨伤优势深度融合:熟练运用传统正骨手法,配合小夹板、石膏、支具、牵引等外固定技术,结合大量院内骨伤制剂,有效促进伤肢愈合。围手术期依托中医特色的快速康复体系,整合艾灸、推拿、中药烫熨、穴位贴敷、针刺等中医适宜技术,显著提升患者舒适度与功能恢复质量。
创伤一科始终秉持“愈骨愈心,医路温情”的理念,以精湛技术守护生命,以人文关怀温暖人心,竭诚为粤西地区百姓提供安全、高效、有温度的骨科医疗服务。

【专家简介】

杨志芬
骨外科主任医师
创伤骨科中心主任
创伤一科主任
临床医学本科毕业,从事临床工作20余年。先后到南方医院、西安红会医院、北京积水潭医院创伤骨科进修学习。
擅长:严重髋臼骨盆创伤、开放性骨折的急救及对应骨折的微创手术治疗,复杂髋膝肘等关节部位骨折手术技术,小儿四肢骨折保守及微创手术,小儿先天畸形矫正技术,针对慢性骨感染骨不连骨缺损的骨搬运及膜诱导技术,脉管炎糖尿病足保肢治疗,应用皮瓣、肌皮瓣修复四肢严重创伤、皮肤缺损。每年完成骨科手术约1000余台;其中高难度骨盆、关节内骨折、微创手术约400余台,均取得良好社会效益和口碑。明显提升区域内创伤骨科技术水平!目前撰写发表了10篇学术论文及专著一本、负责科研立项2项,带领科团队获2018年广东省年轻科学基金1项。
学术任职:广东省医师协会骨科分会委员,广东省医师协会骨科分会足踝外科组成员,中国医药教育协会肩肘专业委员会成员,广东基层医药学会创伤救治专业委员会委员,广东基层医药学会儿童骨科专业委员会委员,广东省生物医学工程学会骨科临床与材料专业委员会成员;阳江市医学会骨科分会常务委员;阳江市医学会创伤骨科分会副主任委员,广州中医药大学附属医院兼职副教授;阳江市医学会医疗事故专家鉴定组成员。

黄伟雄
骨外科副主任医师
创伤一科副主任
毕业于广州医科大学,获医学学士学位,从事骨科临床工作十余年,具备扎实的理论基础与娴熟的手术技能。曾先后赴南方医科大学南方医院、南方医科大学第三附属医院及汕头大学广州华新骨科医院进修学习,系统掌握现代骨科前沿诊疗技术。
擅长儿童骨科(包括儿童骨折、生长发育异常及肢体畸形矫正)诊疗、成人骨盆及下肢复杂创伤的微创治疗,对骨关节疾病、慢性骨髓炎、软组织疾患及骨不连等疑难病症具有丰富经验。作为院内技术骨干,率先在本院开展低成本富血小板血浆(PRP)制备与临床应用,并首次引入体外冲击波疗法治疗骨伤科慢性疼痛与功能障碍,显著提升临床治疗效果。主持/参与市级科研立项4项,发表骨科相关专业论文多篇。
学术任职:广东省医师协会创伤骨科分会青年委员,广东基层医药学会创伤救治专业委员会委员,广东基层医药学会儿童骨科专业委员会委员,阳江市医学会骨科分会/创伤骨科分会/显微外科分会/儿童骨科分会委员。
| 感动 | 同情 | 无聊 | 愤怒 | 搞笑 | 难过 | 高兴 | 路过 |
