【患者之声】一面锦旗背后的暖心医患情
近日,我院骨伤科(骨二科)上演了温馨的一幕。患者梁某某在家人的陪同下,将一面写有“送健康恩同再造,治骨疾手到病除”的锦旗送到了骨二科医护人员手中,以此表达对医护人员的感激之情。

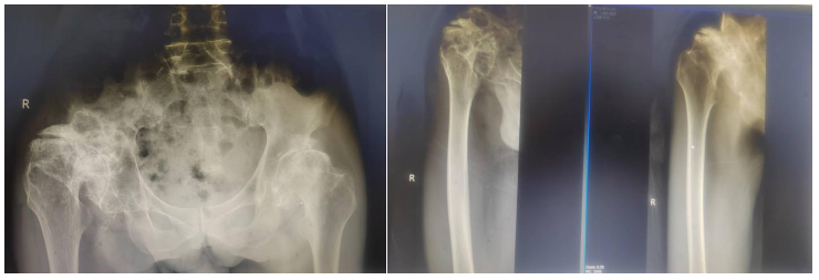
梁某某因双髋部疼痛10余年,反反复复,期间在当地医院进行过保守治疗,但是都没有取得很好的效果,尤其是近半年,患者右侧髋部疼痛症状加重,右下肢短缩、髋部活动受限,行走困难,严重影响日常活动。为了进一步治疗,在家人的陪同下慕名来到我院骨二科进行治疗。办理住院后,患者完善相关检查后,确诊为双侧髋关节发育不良,右侧严重。此症状保守治疗效果不佳,行全髋关节置换手术治疗是目前最有效的方法。但患者因长期的髋关节发育不良,导致髋关节周围肌肉韧带张力失衡、挛缩,髋关节解剖中心移位伴随脱位,髋臼侧畸形及骨量缺失等情况,手术难度较大,手术出现除普通髋关节置换的感染、血栓风险外,更容易出现假体脱位、假体周围骨折、神经血管损伤等并发症,这些都是需要考虑的问题。骨二科主任谢宝林组织科内医护人员对病例进行讨论,制定了详细的手术治疗方案、术后康复方案等,建议患者行手术治疗。告知患者及家属手术相关风险,他们表示理解,予行右侧全髋关节置换术,手术非常顺利,病情稳定。

▲手术前

▲手术前
在骨二科医护人员的共同努力下,梁某某术后第3天可拄助行器下床行走。通过术后康复治疗,梁某某行走良好,终于摆脱了困扰了他10年的关节疼痛症状。患者家属为表达感激之情,给骨二科全体医护人员送来锦旗!
朴实的言语,鲜艳的旗帜。小小的锦旗代表不仅仅是一份感激,它还承载了来自患者对医疗工作的信任和理解,这种信任与理解每多一分,都是对我院医护人员工作的肯定,同时也是对工作的不断鞭策和激励。
「科室简介」
阳春市中医院骨二科(关节骨病科、运动医学科)是以关节骨病及运动损伤等疾病诊治为主的集医、教、研为一体的综合科室,拥有优秀的医护团队,医护共19人,其中主任医师1名,副主任医师1名,主治医师2名,研究生3名,科室开放33张床。本专科主要诊治:骨性关节炎、股骨头坏死、老年股骨颈骨折、半月板损伤、膝关节交叉韧带损伤、肩袖损伤、肩关节盂唇损伤、肩周炎、习惯性肩关节脱位、髋臼撞击综合征、累及关节的复杂骨折、类风湿性关节炎、创伤性关节炎、人工关节置换术后并发症(假体周围骨折、感染、无菌性松动)等。人工关节置换技术、关节镜微创技术在阳江地区处于先进地位,手术时间短,创伤出血少,恢复快,效果显著。科室重视发扬祖国医学传统特色,治疗上强调综合施治,手法、针灸与药物并用,内服与外治结合,有着丰富的经验和显著的疗效。科室注重人文教育,强调服务质量,加强医护患三位一体的诊治模式,中医特色鲜明。
| 感动 | 同情 | 无聊 | 愤怒 | 搞笑 | 难过 | 高兴 | 路过 |
