【技术聚焦】让不可能变成可能——我院顺利开展粤西地区首例空洞型肺癌复合冷冻消融术
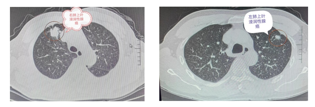
病例为一81岁晚期肺癌患者,去年4月因气喘胸痛入住在我院肺病科,胸部CT发现左肺上叶肿物(5.8cm×4.5cm)并左侧胸腔大量积液,经皮行肿物穿刺活检,病理与免疫组化明确为浸润性腺癌,综合评估诊断为左肺上叶浸润性腺癌并同侧肺门淋巴结、纵膈淋巴结及同侧胸腔转移,为晚期肺癌,无外科胸腔镜切除手术指征,穿刺肿瘤组织肺癌驱动基因为EGFR 21exon L858R突变,采用口服靶向药物+胸腔引流注药+肿块复合冷热消融微创减瘤术+中药综合治疗,治疗2个月患者症状明显改善,左肺上叶肿块明显缩小,消融后残留薄壁空洞,左侧胸腔残留少量积液,可以正常居家生活,每月至我院肺病科肺癌专病门诊取靶向药物维持治疗和定期复查胸部CT。今年4月复查胸部CT左肺上叶残留的薄壁空洞壁较去年12月增厚,结合该靶点口服药物治疗8个月至14个月容易出现耐药,综合评估为局部进展,依照目前中国和欧美国家相关肺癌诊疗指南,采用联合局部治疗的方案。 患者左肺上叶存在的癌性空洞,是热消融(射频、微波、激光)的禁忌症。方案一,向空洞内注入化疗药物,能杀灭内壁的肿瘤细胞,对外壁的肿瘤细胞无作用,达不到预期的临床效果。方案二,采用经皮复合冷热消融术,但常规冷冻消融因空气的传导特性,达不到灭活空洞壁的肿瘤细胞效果。方案三,使用同轴引导针,注入自体靜脉血,血凝块充填空洞,再从同轴置入复合冷热消融针,便可以高效率传导冷源灭活肿瘤细胞的临床预期治疗效果。微创消融过程顺利,一针两用,为患者节省了1万多元,患者术后半天下床行走,第三天出院。 「肺结节与肺癌」 肺结节是指影像学表现为肺内直径≤3cm的局灶性、类圆形或不规则形病灶,影像学表现为密度增高的阴影,可单发或多发,边界清晰或不清晰的病灶。依据大小分类:<5 mm定义为微小结节;5-10 mm定义为小结节;>10 mm的结节需尽早诊治。依据结节密度分类:实性肺结节、磨玻璃密度结节和部分实性结节。恶性概率:部分实性结节>磨玻璃密度结节>实性结节。不同性质的结节有不同的风险评估与处理策略。 「晚期肺癌不是绝望」 由于缺乏对肺癌的防护与早筛早诊意识,大部分肺癌在确诊时,已是中晚期及晚期,错过了早期根治的机会。目前肺癌的治疗早已经进入精准治疗、多学科、多模态诊疗的时代,通过综合治疗,明显提高晚期肺癌患者的生存质量,延长生存时间,带“瘤”生存,随着新型药物和设备的不断研发、生产及临床应用,肺癌终将成为一种慢性疾病。 肺病科(肺部肿瘤专科)肺结节、肺癌专病门诊:阳春市中医院中西医6号诊室


| 感动 | 同情 | 无聊 | 愤怒 | 搞笑 | 难过 | 高兴 | 路过 |
