健康园地
常见髋部损伤疾病及处理
年轻人发生髋部损伤时均为高能量损伤,比如车祸、高处坠落伤等;老年人普遍存在骨质疏松,低能量损伤即可导致髋部损伤,如行走时跌倒。如发生髋部疼痛、不能活动时应考虑到髋部损伤,如髋关节脱位、股骨颈骨折、粗隆间骨折、骨盆骨折;老年人髋部损伤多为骨折,脱位少见。
在患者清醒情况下尽量不要刻意改变患者体位,尽量维持原来体位,并尽早到最近医院就诊规范治疗。


一、髋关节脱位
明确为髋关节脱位而且不合并髋部骨折,应尽早在麻醉下复位处理,复位后需固定1周。
二、股骨颈骨折
60岁以下患者应尽可能考虑保髋治疗,骨折复位内固定手术,术后禁止下地负重3个月,并定期复查骨折愈合情况。60岁以上患者应考虑行人工髋关节置换手术处理,术后可早期活动。


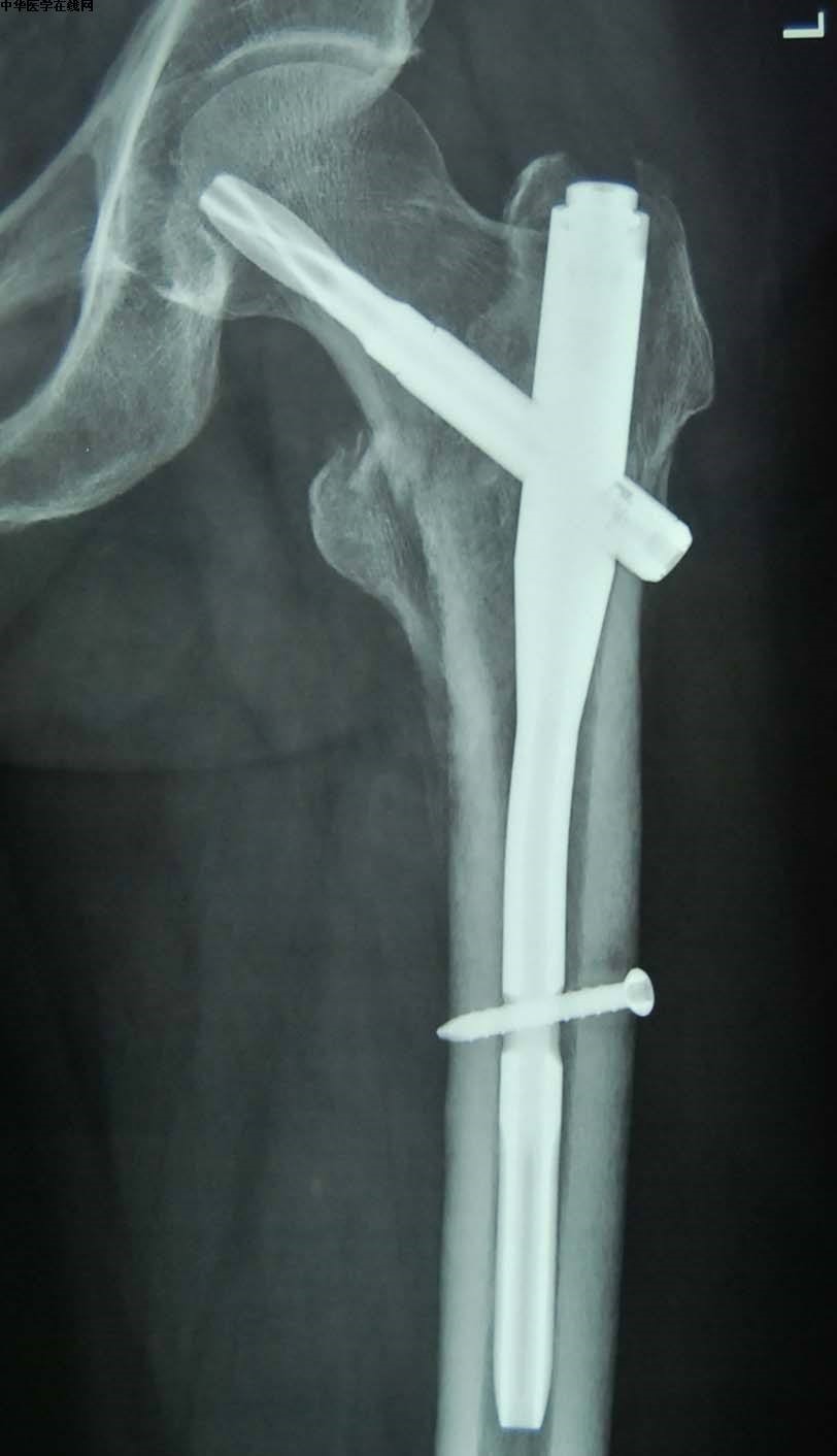
三、股骨粗隆间骨折
保守治疗风险大,极可能引发一系列并发症,如骨折移位、褥疮、肺炎、下肢血栓等,建议行手术复位内固定治疗,手术后尽早减轻疼痛,早期进行功能锻炼,避免长期卧床。并发症如下图:

四、骨盆骨折
简单骨盆骨折可选择保守治疗,复杂骨盆骨折多合并有内脏损伤,如尿道、膀胱、直肠等损伤,病情危重,常需多学科手术治疗。
| 感动 | 同情 | 无聊 | 愤怒 | 搞笑 | 难过 | 高兴 | 路过 |
上一篇:胰岛素十八大误区!你是受害者吗?[ 07-22 ]
下一篇:日常生活中,怎样处理小伤口?[ 07-17 ]
